Difference between revisions of "Endodontic Treatment"

From WikiVet English
Jump to navigation Jump to search
(8 intermediate revisions by 2 users not shown)
Line 1: Line 1:
{{OpenPagesTop}}
 
 
==Introduction==
 
==Introduction==
 
[[File:Endodontics.jpg|200px|right|thumb|Endodontic treatment]]
 
[[File:Endodontics.jpg|200px|right|thumb|Endodontic treatment]]
Endodontics refers to the treatment of the [[Tooth - Anatomy & Physiology#Pulp|pulp of the tooth]] (Endo: inside; -dontic: tooth). There are three pulpal treatments, each of which has specific indications. These are:
+
[[File:Root canal therapy 1.jpg|right|thumb|200px|Root canal therapy 1]]
 +
[[File:Root canal therapy 2.jpg|right|thumb|200px|Root canal therapy 2]]
 +
[[File:Root canal therapy 3.jpg|right|thumb|200px|Root canal therapy 3]]
 +
[[File:Root canal therapy 4.jpg|right|thumb|200px|Root canal therapy 4]]
 +
Endodontics refers to the treatment of the [[Enamel Organ#Pulp|pulp of the tooth]] (Endo: inside; -dontic: tooth). There are three pulpal treatments, each of which has specific indications. These are:
 
#'''Pulp capping'''
 
#'''Pulp capping'''
 
#'''Partial pulpectomy''' with direct pulp capping
 
#'''Partial pulpectomy''' with direct pulp capping
Line 10: Line 13:
  
 
==Indications==  
 
==Indications==  
Endodontics is indicated when there is, or may be, irreversible [[Pulp and Periapical Disease|pulp pathology]] (e.g. generalized pulpitis or pulp necrosis, often in combination with periapical involvement). Such cases include fractures of the [[Tooth - Anatomy & Physiology#Crown|crown]] when the pulp is exposed, non-vital teeth, [[Dental Caries|dental caries]] and iatrogenic pulp exposure in cases of crown shortening for [[Dental Malocclusion|malocclusion]] problems. In all of the above cases, extraction may be an option. Although endodontic treatment is often less traumatic and conserves strategically important teeth for both cosmetic and functional purposes it does require referral to a veterinary dental specialist for treatment.  
+
Endodontics is indicated when there is, or may be, irreversible [[Pulp and Periapical Disease|pulp pathology]] (e.g. generalized pulpitis or pulp necrosis, often in combination with periapical involvement). Such cases include fractures of the [[Enamel Organ#Crown|crown]] when the pulp is exposed, non-vital teeth, [[Dental Caries|dental caries]] and iatrogenic pulp exposure in cases of crown shortening for [[Dental Malocclusion|malocclusion]] problems. In all of the above cases, extraction may be an option. Although endodontic treatment is often less traumatic and conserves strategically important teeth for both cosmetic and functional purpose it does require referral to a veterinary dental specialist for treatment.  
  
 
==Contraindications==  
 
==Contraindications==  
Endodontic treatment requires long term [[Intra-Oral Radiography - Small Animal|radiographic monitoring]], therefore a patient who is a high anaesthetic risk may not be a suitable candidate. In some cases, root canal treatment may also involve a longer surgery time, in which case, extraction is the preferable treatment for these patients.   
+
Endodontic treatment requires long term [[Intra-Oral Radiography - Small Animal|radiographic monitoring]], therefore a patient who is a high anaesthetic risk may not be a suitable candidate. In some cases, root canal treatment may also involve a longer surgery time, in which case, extraction is the preferable treatment in these patients.   
  
 
==Objectives==
 
==Objectives==
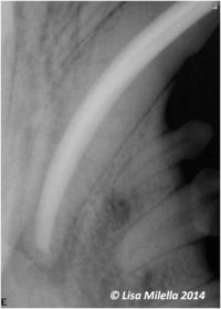
The objectives of conventional root canal therapy are:  
+
The objectives of conventional root canal therapy are: (pic30-33)
 
*To clean and disinfect the pulp chamber and root canal(s).
 
*To clean and disinfect the pulp chamber and root canal(s).
*To fill the root canal(s) with a non-irritant, antibacterial material, thus sealing the apex.
+
*To fill the root canal(s) with a nonirritant, antibacterial material, thus sealing the apex.
 
*To close the access and exposure sites with a suitable restorative material.
 
*To close the access and exposure sites with a suitable restorative material.
<center><gallery heights=200px caption="Root Canal Therapy" >
+
 
File:Root canal therapy 1.jpg
 
File:Root canal therapy 2.jpg
 
File:Root canal therapy 3.jpg
 
File:Root canal therapy 4.jpg
 
</gallery></center>
 
 
The whole procedure is performed under general anesthesia and under strict radiographic control. It is time-consuming, as each step needs to be performed with meticulous detail to ensure a successful outcome. The outcome of conventional root canal therapy should be monitored [[Intra-Oral Radiography - Small Animal|radiographically]] for 6–12 months postoperatively, then ideally every year thereafter.  
 
The whole procedure is performed under general anesthesia and under strict radiographic control. It is time-consuming, as each step needs to be performed with meticulous detail to ensure a successful outcome. The outcome of conventional root canal therapy should be monitored [[Intra-Oral Radiography - Small Animal|radiographically]] for 6–12 months postoperatively, then ideally every year thereafter.  
  
A partial pulpectomy and direct pulp capping procedure are indicated for recent tooth crown fractures with pulp exposure in an immature tooth. An immature tooth has a thin [[dentine]] wall and an open apex, allowing a good blood supply to the pulp. Treatment is aimed at maintaining a viable pulp, as this is needed for continued root development.  
+
A partial pulpectomy and direct pulp capping procedure is indicated for recent tooth crown fractures with pulp exposure in an immature tooth. An immature tooth has a thin [[dentine]] wall and an open apex, allowing a good blood supply to the pulp. Treatment is aimed at maintaining a viable pulp, as this is needed for continued root development. (pic34,35)
 
 
<center><gallery heights=200px caption="Partial Pulpectomy and Direct Pulp Capping">
 
File:Partial pulpectomy.jpg
 
File:Direct pulp capping.jpg
 
</gallery></center>
 
  
 
==Complications==
 
==Complications==
 
Failure of the endodontic treatment can occur. This is often detected radiographically. Reported success rates in dogs are 86% plus. In cases of endodontic failure, a surgical endodontic procedure can be carried out or the tooth could be extracted.  
 
Failure of the endodontic treatment can occur. This is often detected radiographically. Reported success rates in dogs are 86% plus. In cases of endodontic failure, a surgical endodontic procedure can be carried out or the tooth could be extracted.  
  
 
+
{{unfinished}}
{{Lisa Milella written
 
|date = 1 October 2014}}
 
 
 
{{Waltham}}
 
 
 
{{OpenPages}}
 
 
[[Category:Dental Surgical Procedures]]
 
[[Category:Dental Surgical Procedures]]
[[Category:Waltham reviewed]]
+
[[Category:To Do - Dentistry preMars]]

Revision as of 16:48, 15 April 2014

Introduction

Endodontic treatment
Root canal therapy 1
Root canal therapy 2
Root canal therapy 3
Root canal therapy 4

Endodontics refers to the treatment of the pulp of the tooth (Endo: inside; -dontic: tooth). There are three pulpal treatments, each of which has specific indications. These are:

  1. Pulp capping
  2. Partial pulpectomy with direct pulp capping
  3. Root canal therapy

Conventional root canal therapy is the most commonly indicated type of endodontic treatment. It involves total removal of pulp tissue, i.e. total pulpectomy, cleaning and filling of the root canal, followed by tooth restoration.

Indications

Endodontics is indicated when there is, or may be, irreversible pulp pathology (e.g. generalized pulpitis or pulp necrosis, often in combination with periapical involvement). Such cases include fractures of the crown when the pulp is exposed, non-vital teeth, dental caries and iatrogenic pulp exposure in cases of crown shortening for malocclusion problems. In all of the above cases, extraction may be an option. Although endodontic treatment is often less traumatic and conserves strategically important teeth for both cosmetic and functional purpose it does require referral to a veterinary dental specialist for treatment.

Contraindications

Endodontic treatment requires long term radiographic monitoring, therefore a patient who is a high anaesthetic risk may not be a suitable candidate. In some cases, root canal treatment may also involve a longer surgery time, in which case, extraction is the preferable treatment in these patients.

Objectives

The objectives of conventional root canal therapy are: (pic30-33)

  • To clean and disinfect the pulp chamber and root canal(s).
  • To fill the root canal(s) with a nonirritant, antibacterial material, thus sealing the apex.
  • To close the access and exposure sites with a suitable restorative material.

The whole procedure is performed under general anesthesia and under strict radiographic control. It is time-consuming, as each step needs to be performed with meticulous detail to ensure a successful outcome. The outcome of conventional root canal therapy should be monitored radiographically for 6–12 months postoperatively, then ideally every year thereafter.

A partial pulpectomy and direct pulp capping procedure is indicated for recent tooth crown fractures with pulp exposure in an immature tooth. An immature tooth has a thin dentine wall and an open apex, allowing a good blood supply to the pulp. Treatment is aimed at maintaining a viable pulp, as this is needed for continued root development. (pic34,35)

Complications

Failure of the endodontic treatment can occur. This is often detected radiographically. Reported success rates in dogs are 86% plus. In cases of endodontic failure, a surgical endodontic procedure can be carried out or the tooth could be extracted.